Estética
A estética dental, é a área da odontologia focada em melhorar a... Saiba mais
Implantes
Implantes dentários são pinos de titânio, inseridos cirurgicamen... Saiba mais
Ortodontia
A ortodontia é a especialidade da odontologia focada no diagnóstico, p... Saiba mais
Enxertos
O enxerto (geralmente ósseo) é um procedimento cirúrgico para r... Saiba mais
Técnica de All on Four
A técnica All-on-4 é um procedimento de reabilitação ora... Saiba mais
Próteses
A prótese dentária é um dispositivo utilizado na odontologia pa... Saiba mais
Dentística
A dentística é a especialidade da odontologia focada na restaura&ccedi... Saiba mais
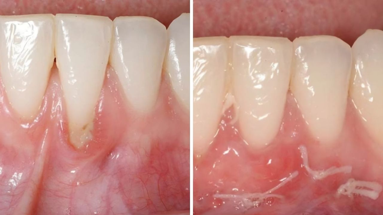
Periodontia
A periodontia é a especialidade odontológica focada na prevenç&... Saiba mais
Harmonização Facial
A harmonização facial é um conjunto de procedimentos esté... Saiba mais
Endodontia
A endodontia é a especialidade da odontologia focada no diagnóstico, p... Saiba mais
Clínica Geral
A odontologia clínica geral é o primeiro ponto de contato na saú... Saiba mais
